Профессиональная чистка налета и зубного камня Рецессия десны Лечение флюса (периостита)
Лечение стоматита Лечение кариеса Лечение периодонтита
Лечение пульпита Лечение гингивита Лечение зубов под микроскопом
Световая пломба на зуб Реставрация зубов Лечебные прокладки
Полировка и шлифовка зубов Чистка зубов системой Air Flow Лечение глубокого кариеса зубов
Распломбировка канала зуба Лечение среднего кариеса зубов Композитные виниры
Консультация стоматолога Удаление инородных тел из канала зуба
Сегодня лечение зубов уже не ассоциируется с чем-то страшным и болезненным. Процедуры вышли на новый уровень, в клиниках используется современное оборудование, материалы и инструменты. Российская стоматология работает в соответствии с европейскими стандартами. Поход к стоматологу для лечения зубов уже не вызывает дрожи в коленках, потому что:
Изменились методы обезболивания. Процедура практически неощутима, после лечения и даже удаления зуба болевые ощущения возникают, но они не так ярко выражены. Чтобы избавиться от них, достаточно принимать препараты, которые рекомендовал специалист.
Удаление зубов предписывается только в исключительных случаях, когда уже ничего нельзя сделать. В большинстве ситуаций осуществляется восстановление зуба при наличии его фрагментов и здорового корня. Многие пациенты уже оценили возможности современной стоматологии.
Сложные процедуры выполняются быстро, легко и без осложнений. Даже лечение корневых каналов больше не требует особых усилий. Врач выполнит процедуру так, что пациент даже не заметит. И все это благодаря использованию инструментов нового поколения.
Профилактика и лечение зубов в Твери
Посещение стоматолога для лечения зубов откладывать не стоит. Большинство мелких проблем можно решить за один поход в клинику. При этом посещение врача предотвратит более серьезные проблемы и длительное лечение. Если проблема уже ярко выражена, то также не стоит тянуть до последнего момента, когда потребуется экстренная помощь. Сегодня достаточно легко лечат даже периодонтит и пульпит, однако для пациентов ситуация, когда возникает осложнение, всегда критическая. Ведь ему приходится столкнуться с острой болью, причем боль может возникнуть в самый неподходящий момент.
Лечение зубов откладывать не стоит вообще. Лучше посетить стоматолога, когда никаких симптомов нет. Почти наверняка специалист обнаружит кариозную болезнь на начальной стадии. Кариозное пятно или корневой кариес не имеют никаких выраженных симптомов, зато в дальнейшем приводят к серьезным последствиям. На самой ранней стадии вылечить заболевание можно без использования бормашины.
Также сегодня в клинике пациенту могут предложить качественную профилактическую чистку зубов, которая поможет снизить риск развития различных заболеваний. Используется современное оборудование, которое не наносит вред эмали.
Кариес полностью изучен
Многие заболевания в современной стоматологии полностью изучены, что облегчает и упрощает процесс лечения зубов. Например, отлично изучен кариес и его деятельность. Известно, что развитие кариеса зависит от множества факторов:
- гигиены полости рта;
- иммунитета;
- рациона питания;
- работы органов пищеварения;
- качества употребляемых продуктов;
- перенесенных заболеваний.
Одной из причин развития заболевания является недостаток минеральных веществ в организме. Также кариес развивается из-за употребления слишком большого количества продуктов, содержащих сахар, простые углеводы. Важно помнить, что кариес может влиять на работу органов ЖКТ, вызывать аллергические реакции, быть источником инфекций в организме.
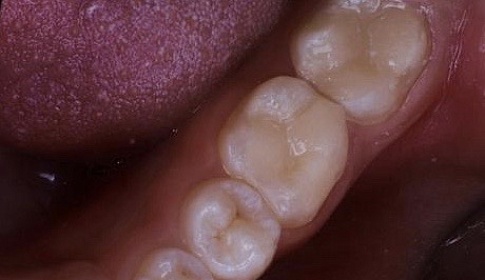
Современная стоматология позволяет быстро решить проблему с кариесом на любой стадии. Даже на поздней стадии, когда развивается глубокий кариес, пациенту могут помочь. В клинике используются пломбировочные материалы нового поколения, в том числе светоотверждаемые композиты, материалы химического отверждения, новые виды цементов, компополимеры. Это составы, которые выводят лечение на новый уровень.



