г. Тверь, бульвар Цанова, д. 1Б, ТЦ «Домино», 2 этаж

пн-пт: с 9:00 до 20:00

сб: с 9:00 до 19:00

вс: с 9:00 до 16:00

Телефоны нашей клиники

Вы можете позвонить нам по одному из номеров представленных ниже

Записаться онлайн

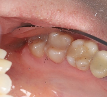
Выполненные работы

На всех этапах лечения мы проводим полный фото протокол. Если вы хотите проследить ход лечения и посмотреть результат, то все это осуществимо при помощи дентальных фотографий, сделанных на высококлассный фотоаппарат Canon последней модели.

В данном разделе представлены примеры работ наших специалистов “ДО” и “ПОСЛЕ” лечения. Мы работаем ради Вас! Ваша улыбка-наша забота!

Показать работы врача:

Все врачи

  • Все врачи

  • Агакишиева Ольга Сергеевна

    15 работ

  • Мамишова Шабнем Мазахировна

    6 работ

  • Годжаев Наил Джахангирович

    8 работ

  • Дурсунов Самед Дашгынович

    2 работы

  • Федоров Александр Андреевич

    7 работ

  • Акилян Амжад Магомедович

    3 работы

  • Яковлева Екатерина Сергеевна

    1 работа

  • Науменко Варвара Павловна

    4 работы

Сбросить настройки

До

Внимание! Изображение может вызвать шок или неприятные эмоции.

Смотреть

После

Перелечивание симптоматического периодонтита пациенту 35 лет

До

Внимание! Изображение может вызвать шок или неприятные эмоции.

Смотреть

После

Лечение периодонтита у пациента 52 лет

До

Внимание! Изображение может вызвать шок или неприятные эмоции.

Смотреть

После

Лечение кариеса у пациента 37 лет

До

Внимание! Изображение может вызвать шок или неприятные эмоции.

Смотреть

После

Лечение кариеса у пациента 17 лет

До

Внимание! Изображение может вызвать шок или неприятные эмоции.

Смотреть

После

Лечение пульпита у пациента 31 года

До

Внимание! Изображение может вызвать шок или неприятные эмоции.

Смотреть

После

Лечение кариеса (Пломбирование зубов)

Нужна консультация?

Оставьте ваш номер телефона и наши специалисты свяжутся с вами в ближайшее время.

Или напишите нам в WhatsApp

Заказать звонок