г. Тверь, бульвар Цанова, д. 1Б, ТЦ «Домино», 2 этаж

пн-пт: с 9:00 до 20:00

сб: с 9:00 до 19:00

вс: с 9:00 до 16:00

Телефоны нашей клиники

Вы можете позвонить нам по одному из номеров представленных ниже

Записаться онлайн

Мамишова Шабнем Мазахировна

Должность Врач стоматолог общей практики, заместитель главного врача
Стаж работы с 2010 года
Специальность Врач стоматолог общей практики

О специалисте

Шабнем Мазахировна Мамишова - ведущий терапевт нашей клиники, опытный микроскопист и эндодонтист! С более чем 10-летним стажем работы и 4 годами в нашей команде, она занимает должность заместителя главного врача. Благодаря своему профессионализму и использованию передовых технологий, включая микроскоп, обеспечивающий высочайшую точность диагностики и лечения.

  • Окончила Тверскую государственную медицинскую академию по специальности "Стоматология" в 2010 году.
  • Удостоверение об окончании интернатуры в ТГМА по специальности "Стоматология общей практики" в 2011 году.
  • Сертификат квалифицированного специалиста по специальности "Стоматология общей практики", ТГМА 2011 год.
  • Удостоверение о повышении квалификации по специальности "Стоматология общей практики", ТГМУ 2016 год.
  • Сертификат квалифицированного специалиста по специальности "Стоматология общей практики", ТГМУ 2016 год.

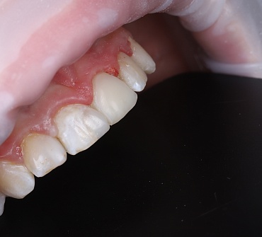
До

Внимание! Изображение может вызвать шок или неприятные эмоции.

Смотреть

После

Лечение кариеса в эстетически значимой зоне

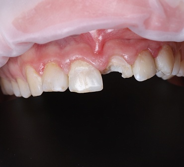
До

Внимание! Изображение может вызвать шок или неприятные эмоции.

Смотреть

После

Восстановление коронковой части со стекловолоконным штифтом у подростка 13 лет

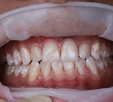
Работа Мамишовой Шабнем Мазахировны

Сертификаты врача

Нужна консультация?

Оставьте ваш номер телефона и наши специалисты свяжутся с вами в ближайшее время.

Или напишите нам в WhatsApp

Заказать звонок