г. Тверь, бульвар Цанова, д. 1Б, ТЦ «Домино», 2 этаж

пн-пт: с 9:00 до 20:00

сб: с 9:00 до 19:00

вс: с 9:00 до 16:00

Телефоны нашей клиники

Вы можете позвонить нам по одному из номеров представленных ниже

Записаться онлайн

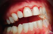
Кровоточивость десен

Признаком воспалительного процесса, сопровождающего такие заболевания, как гингивит и пародонтит является кровоточивость десен, а также при нехватке аскорбиновой кислоты в организме может появиться такая проблема. Кровоточивость может появляться и  при чистке зубов, а иногда и в покое.

Попытки лечения в домашних условиях могут привести к ухудшению состояния десен.