г. Тверь, бульвар Цанова, д. 1Б, ТЦ «Домино», 2 этаж

пн-пт: с 9:00 до 20:00

сб: с 9:00 до 19:00

вс: с 9:00 до 16:00

Телефоны нашей клиники

Вы можете позвонить нам по одному из номеров представленных ниже

Записаться онлайн

Агакишиева Ольга Сергеевна

Должность Врач стоматолог хирург
Стаж работы с 2011 года
Специальность Врач стоматолог терапевт, хирург, имплантолог

О специалисте

Ольга Сергеевна Агакишиева ведущий хирург имплантолог нашей клиники! Обладая более чем 13-летним опытом и 5-летним стажем работы в нашей клинике, она является настоящим экспертом в области имплантологии. За плечами стоматолога Агакишиевой более 300 успешно установленных имплантов. Ее профессионализм позволяет ей проводить сложнейшие операции по костной пластике и пластике десны, включая коррекцию рецессии.

Заняла в 2024 году второе место среди хирургов в премии "ПроДокторов 2024" по Твери

Окончила Тверскую государственную медицинскую академию по специальности «Стоматология» в 2011 году

Сертификат «Стоматология общей практики», ТГМА 2012 год

Проходила профессиональную переподготовку в Тверской государственной медицинской академии на ведение профессиональной деятельности в сфере «Стоматология хирургическая» в 2013 году

Удостоверение о повышении квалификации «Стоматология общей практики», ТГМУ 2017

Сертификат «Стоматология общей практики», ТГМУ 2017 год

Удостоверение «Стоматология хирургическая», ТГМУ 2020 год

Сертификат «Стоматология хирургическая», ТГМУ 2020 год

Дополнительное образование

Сертификат «Базовый курс по имплантации. Хирургический и ортопедический протокол», г. Москва 2020 год

Сертификат «Наращивание костной ткани по протоколу профессора Кюри: использование аутогенных костных блоков и аутогенной костной стружки», город Москва 2020 год

Сертификат "Продвинутый курс по имплантации. Костная пластика. Клинические этапы", город Москва 2020 год

Сертификат "Искусство визуализации:Фронтальная группа",город Тверь 2020 год

Сертификат "Пластика мягких тканей в области зубного имплантата", город Москва 2021 год

Сертификат "Осложнения при имплантологическом лечении. Методы их устранения", город Москва 2021год

Сертификат "Одномоментная имплантация и немедленная нагрузка", город Москва 2021 год

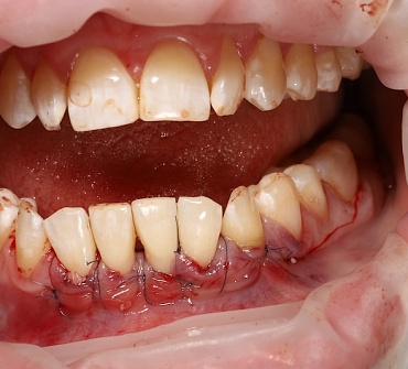
До

Внимание! Изображение может вызвать шок или неприятные эмоции.

Смотреть

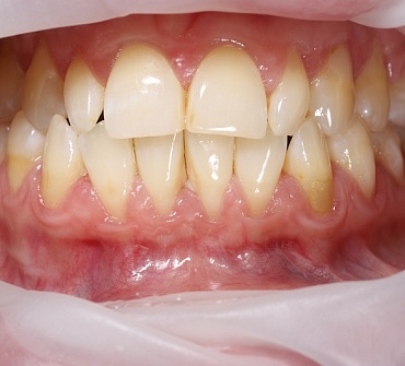
После

До

Внимание! Изображение может вызвать шок или неприятные эмоции.

Смотреть

После

Сертификаты врача

Нужна консультация?

Оставьте ваш номер телефона и наши специалисты свяжутся с вами в ближайшее время.

Или напишите нам в WhatsApp

Заказать звонок