г. Тверь, бульвар Цанова, д. 1Б, ТЦ «Домино», 2 этаж

пн-пт: с 9:00 до 20:00

сб: с 9:00 до 19:00

вс: с 9:00 до 16:00

Телефоны нашей клиники

Вы можете позвонить нам по одному из номеров представленных ниже

Записаться онлайн

Федоров Александр Андреевич

Должность Врач стоматолог ортодонт
Стаж работы c 2013 года
Специальность Врач стоматолог ортодонт

О специалисте

Александр Андреевич Федоров - опытный стоматолог ортодонт нашей клиники! Более 10 лет практики и 5 лет успешной работы в нашей команде позволили ему стать настоящим профессионалом в области лечения прикуса с помощью брекет-систем и элайнеров. Стоматолог Федоров постоянно совершенствует свои знания, осваивая самые современные методики и технологии, чтобы обеспечить вам наилучший результат.

Окончил Тверскую государственную медицинскую академию по специальности «Врач стоматолог» в 2013 году.

Проходил интернатуру по специальности «Врач стоматолог общей практики» в Тверской государственной медицинской академии в 2014 году.

Проходил ординатуру по специальности «Ортодонтия» в Тверском Государственном Медицинском Университете в 2016 году.

Проходил профессиональную переподготовку на кафедре общей стоматологии ТГМУ по специальности  "Стоматология хирургическая" в 2017 году.

Сертификат «Стоматология хирургическая» ТГМУ 2017 год.

Сетификат «Стоматология общей практики» - ТГМУ 2019 год.

Сертификат "Ортодонтия" - ТГМУ 2020 год.

Сертификат "Стоматология хирургическая" - ТГМУ 2020 год.


Дополнительное обучение:

Сертификат «Брекет система Damon – первые шаги к успешному лечению.Диагностика, планирование, выбор прописи, позиционирование». г. Санкт-Петербург 2014 год

Сертификат «Этапы лечения системой Damon: от первой дуги до завершения». г.Санкт-Петербург 2015 год

Сертификат «Использование LM – Активатора для лечения аномалий прикуса у детей в возрасте 7-12 лет» и «Концепция AquaSplint: новая шина для упрощенной диагностики и эффективной терапии ВНЧС». г. Москва 2015 год

Сертификат «Грамтное применение системы Damon в ортодонтической практике: от понимания принципов работы до завршающих этапов лечения». г. Санкт-Петербург 2015 год

Сертификат «Завершения лечения на системе Damon. Продвинутый уровень». г. Санкт-Петербург 2015 год

Сертификат «Диагностика в ортодонтии». г. Санкт-Петербург 2015 год

Сертификат «Лечение различных аномалий прикуса современной несъемной техникой. Теория и разбор клинических случаев». г. Москва 2016 год

«The next generation WIN, Dirk Wiechmann. г. Москва 2016 год

Сертификат «Диагностика ортодонтического пациента». Москва 2016 год

Сертификат «Ортодонтическое лечение без удаления зубов на Damon System. Расширение, дистализация и апроксимальная сепарация, как способы получения места в зубном ряду». г. Тверь 2016 год

Сертификат «Рост лица. Скелетные и зубоальвеолярные формы аномалий. Дифференциальная диагностика. Особенности лечения зубочелюстных аномалий в различные возрастные периоды». г. Воронеж 2016 год

Сертификат «Сравнительный анализ принципов биомеханики пр использовании традиционной аппаратуры и пассивного самолигирования» г. Москва 2017 год

Сертификат «Иновационные методики лечения сложных случаев». г. Москва 2017 год

Сертификат «Хирургические аспекты применения дентальной иплантационной системы Bicon». г.Тверь, ТГМУ 2017 год

Сертификат «Новые возможности в ортодонтии с абсолютной опорой VectorTAS» г. Москва 2018 год

Удостоверение о повышении квалификации «Иновационные и классические технологии медицинского образования». г. Тверь, ТГМУ 2018 год

Сертификат «Один на один с открытым прикусом и Damon System». г.Казань 2018 год

Сетификат «Ортодонтическое лечение детей. Что? Где? Когда?» г. Ростов-на-Дону 2018 год

Сертификат «Ортодонтическая резидентура. Современные принципы ортодонтического лечения. Основы диагностики. Успешный старт практики». 2018 год

Сертификат «Диагностика, клиника и лечение дистальной окклюзии». 2019 год

Сертификат «Система минивинтов BIO-RAY». г. Москва 2019 год

Сертификат «КЛКТ в стоматологии. Работа с программой Xelis Dental». г. Тверь 2019 год

Сертификат  «Протокол Питтса: Достижение мастерства в лечении без удаления». г.Москва 2019 год

Сертификат «Искусство ортодонтии. Пациент – на первом месте». г.Москва 2019 год

Сертификат «Минивинты в ортодонтии. Сплав металла и интеллекта». г. Москва 2019 год

Certificate «Orthodontics Congress». г. Москва 2020 год

Сертификат «Золотые правила самолигирования. Открывая двери к успеху». г. Москва 2020 год

Сертификат «Star Smile. Ортодонтия без брегетов. II ступень». г. Москва 2020 год

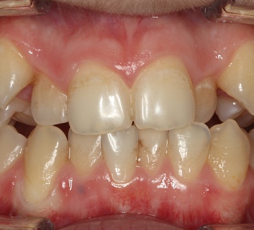
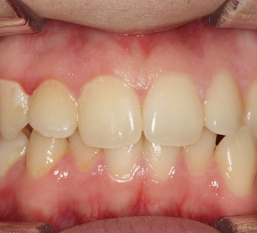
До

Внимание! Изображение может вызвать шок или неприятные эмоции.

Смотреть

После

Исправление прикуса у мальчика 15-17 лет

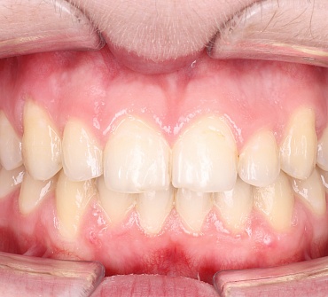
До

Внимание! Изображение может вызвать шок или неприятные эмоции.

Смотреть

После

Исправление прикуса у подростка 17-19 лет

Нужна консультация?

Оставьте ваш номер телефона и наши специалисты свяжутся с вами в ближайшее время.

Или напишите нам в WhatsApp

Заказать звонок