г. Тверь, бульвар Цанова, д. 1Б, ТЦ «Домино», 2 этаж

пн-пт: с 9:00 до 20:00

сб: с 9:00 до 19:00

вс: с 9:00 до 16:00

Телефоны нашей клиники

Вы можете позвонить нам по одному из номеров представленных ниже

Записаться онлайн

Дурсунов Самед Дашгынович

Должность Стоматолог общей практики, хирург, имплантолог
Стаж работы с 2020 года
Специальность Врач стоматолог общей практики, хирург

О специалисте

Самед Дашгынович Дурсунов - высококвалифицированный врач стоматолог общей практики, хирург. Обладая 4-летним опытом работы, он зарекомендовал себя как востребованный специалист в области хирургической стоматологии и терапии. Его профессионализм подтверждается постоянным стремлением к самосовершенствованию и освоению новых методик. В частности, он специализируется на лечении рецессии и пластике десны.

 Окончил Тверской государственный медицинский университет по специальности «Врач стоматолог» в 2020 году. В этом же году ему была присвоена первая категория.

Закончил ординатуру по специальности «Хирургия» в Тверском государственном медицинском университете в 2022 году.

Дополнительное образование:

Сертификат "Astra Tech Implant System Day". г. Москва 2021 год

Сертификат "Базовые принципы работы ручными парадонтологическими инструментами". г. Тверь 2021 год

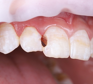
До

Внимание! Изображение может вызвать шок или неприятные эмоции.

Смотреть

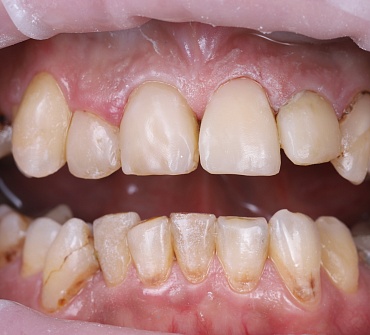
После

Эстетическая реставрация во фронтальном отделе

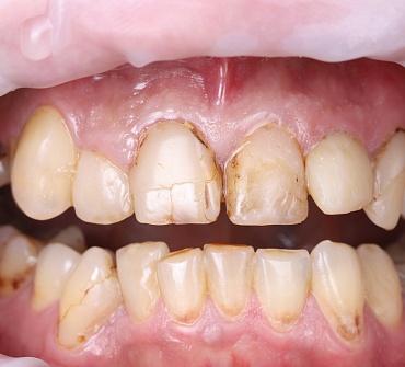
До

Внимание! Изображение может вызвать шок или неприятные эмоции.

Смотреть

После

Лечение хронического глубокого кариеса в эстетически значимой зоне

Сертификаты врача

Нужна консультация?

Оставьте ваш номер телефона и наши специалисты свяжутся с вами в ближайшее время.

Или напишите нам в WhatsApp

Заказать звонок